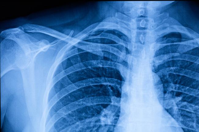
L’intelligenza artificiale (IA) sembra riuscire a stimare l’età anche dal torace. Lo dimostra l'algoritmo sviluppato presso l'Università Metropolitana di Osaka, in Giappone, che in un articolo pubblicato sulla rivista The Lancet Healthy Longevity dimostra che le radiografie del torace possono essere utilizzate per stimare con precisione l'età cronologica, cioè il tempo trascorso dalla nascita in poi. il tutto per individuare i primi segnali di malattie croniche come l'ipertensione.
Una delle applicazioni più potenti degli algoritmi di intelligenza artificiale è la capacità di analizzare milioni e milioni di dati, cercando di identificare schemi che l’occhio umano non è in grado di rilevare, come la correlazione di impercettibili cambiamenti nel suono con possibili patologie della gola. Questi sono modelli che possono essere trovati in molti test medici, come le radiografie, e sta analizzando fino a 67.099 radiografie del torace di 36.051 individui sani sottoposti a controlli sanitari presso tre strutture mediche.
Il sistema di intelligenza artificiale sviluppato dai ricercatori giapponesi è riuscito a stimare l'età cronologica dei pazienti, cioè il tempo effettivamente trascorso dalla nascita, con un coefficiente di correlazione pari a 0,95, praticamente con un livello di precisione molto elevato.
Dati dai quali l’IA ha dimostrato anche un’altissima capacità nella diagnosi precoce dello sviluppo di malattie croniche che colpiscono il torace in modi diversi, come l’ipertensione, l’iperuricemia e le malattie polmonari croniche ostruttive.
“L'età cronologica è uno dei fattori più critici in medicina”, ha affermato Yasuhito Mitsuyama, uno degli autori dello studio. “I nostri risultati suggeriscono che l'età apparente basata sulle radiografie del torace può riflettere accuratamente le condizioni di salute oltre l'età cronologica. Il nostro obiettivo è sviluppare ulteriormente questa ricerca e applicarla per valutare la gravità delle malattie croniche, prevedere l’aspettativa di vita e prevedere potenziali complicanze chirurgiche”.

